< LECCIÓN 6. Profilaxis y tratamiento del tromboembolismo venoso asociado a cáncer en pacientes con afectación del sistema nervioso central

CASO CLÍNICO 2

A continuación, se ilustra un caso clínico de tromboembolismo venoso (TEV) asociado a un glioma y a unas características moleculares predictoras.

Anamnesis

Se trata de una paciente mujer caucásica de 61 años sin antecedentes familiares de interés. Como antecedentes personales presenta obesidad y una fibrilación auricular en tratamiento con el anticoagulante oral warfarina. La paciente es llevada por su familia al Servicio de Urgencias ante alteraciones de comportamiento de varias semanas de evolución que en las últimas horas se han seguido de pérdida de fuerza y dificultad para la marcha.

Se realiza una tomografía computarizada (TC) craneal con hallazgo de una lesión frontal izquierda de 5,7 cm con importante edema vasogénico que inicialmente se indica que es probablemente una metástasis. Al tratarse de una mujer no fumadora y posmenopáusica, la primera sospecha diagnóstica es que se trate de metástasis de un cáncer de mama. En la exploración física no se detectan nódulos mamarios ni se palpan adenopatías.

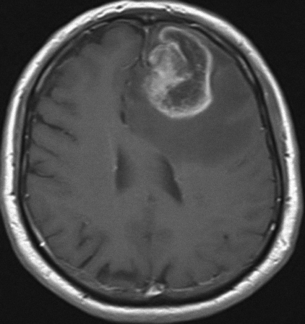
La paciente inicia tratamiento con dexametasona 4 mg cada 8 horas e ingresa en el Servicio de Medicina Interna para completar estudios. La analítica muestra un descenso de la cifra de plaquetas, una anemia leve sin valores alterados en la bioquímica. La imagen de resonancia magnética nuclear (RMN) cerebral muestra una lesión compatible con un glioblastoma multiforme izquierdo (Figura 1). El diagnóstico patológico fue de glioblastoma multiforme sin mutación detectada en IDH1 [1] por inmunohistoquímica, promotor del gen de la O6-methylguanine DNA methyltransferase (MGMT) metilado (predictivo de mejor respuesta terapéutica a agentes alquilantes) y compatible con el subtipo molecular clásico [2].

Tratamiento

La paciente se somete a cirugía con resección completa de la masa tumoral y posteriormente recibe radioterapia concurrente con temozolomida seguida de 6 meses de temozolamida según el esquema de Stupp.

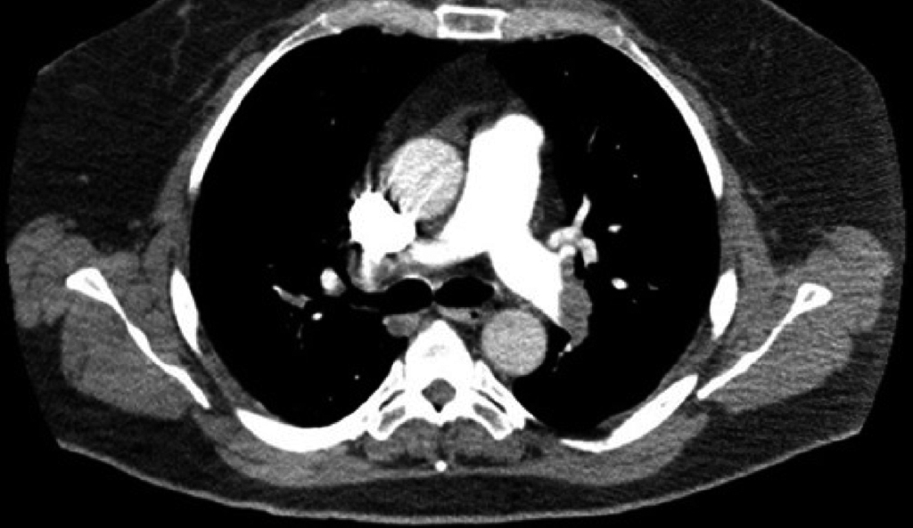
A los 40 días de finalizar la radioterapia comienza con disnea súbita sin otra clínica acompañante. La saturación de oxígeno es del 91%, con una gasometría que muestra hipoxemia. Se realiza una angio-TC torácica que confirma un tromboembolismo pulmonar en las arterias pulmonares distales derecha e izquierda con dilatación de la arteria pulmonar principal (Figura 2). No se constata trombosis venosa profunda ni a la exploración ni mediante ecografía Doppler de ambas extremidades inferiores.

El tratamiento indicado en caso de retrombosis en una paciente con anticoagulante oral es la rotación a heparina de bajo peso molecular (HBPM) que podría haberse iniciado al diagnóstico del cáncer, dado que tiene menos interacciones con la quimioterapia y estudios que avalan su mayor seguridad con menor riesgo de sangrado comparado con el fármaco antivitamina K [3]. En esta paciente se pautó HBPM a dosis terapéuticas una vez al día.