< LECCIÓN 6. Profilaxis y tratamiento del tromboembolismo venoso asociado a cáncer en pacientes con afectación del sistema nervioso central

CASO CLÍNICO 3

Se presenta el caso de un paciente diagnosticado de glioblastoma multiforme con tromboembolismo pulmonar asociado a trombopenia grave por temozolomida.

Anamnesis

Se trata de un paciente varón de 51 años con antecedente de obesidad mórbida y cardiopatía isquémica diagnosticada en los 12 meses previos. Se había colocado un stent en la arteria coronaria descendente y recibía tratamiento con clopidogrel 75 mg/día. El paciente fue intervenido por un glioblastoma multiforme, IDH nativo, realizándose una resección subtotal. En la primera consulta en el Servicio de Oncología Médica presentaba una hemiparesia izquierda 4/5, precisando silla de ruedas.

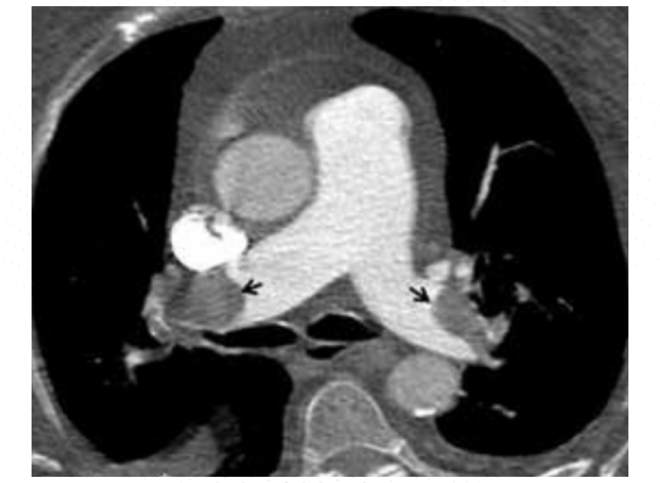
Inició tratamiento con radioterapia y temozolomida concurrente. Durante el transcurso de esta terapia, acudió al Servicio de Urgencias por disnea de instauración súbita, sin alteración hemodinámica ni insuficiencia respiratoria. A la exploración no se apreciaron signos de trombosis venosa profunda en las extremidades. La angiotomografía axial computarizada (angio-TAC) pulmonar confirmó el diagnóstico de un tromboembolismo en la arteria pulmonar principal y bilateral (Figura 1).

El paciente recibió tratamiento con heparina de bajo peso molecular (HBPM) a dosis completas y fue dado de alta tras 4 horas de observación en el Urgencias. A los 2 días pudo reanudar el tratamiento con radioterapia y temozolomida. Tras 20 dosis, el paciente volvió a consultar por edema del miembro inferior derecho hasta la raíz del muslo. La ecografía Doppler confirmó el diagnóstico de trombosis aguda femoral superficial e iliaca. En el hemograma, se objetivó un recuento de plaquetas de 22.000/mm3, sin evidencia de sangrado, con un nivel de anti-Xa de 1,4 UI/mL, aproximadamente a las 4 horas de la última dosis de heparina.

Tratamiento

El paciente refería que la adherencia a la terapia anticoagulante había sido buena en todo momento. Dada la contraindicación absoluta para seguir con el tratamiento anticoagulante por la cifra de plaquetas, se colocó un filtro de vena cava inferior, recibiendo en la primera semana dosis profilácticas de heparina. En ese periodo, se realizaron 2 transfusiones de plaquetas y se suspendió el tratamiento antiagregante.

Evolución

En las siguientes semanas, la trombopenia se mantuvo estable entre 28.000 y 37.000/mm3. En ese tiempo, se mantuvo con dosis profilácticas (de alto riesgo) de HBPM. La trombopenia tardó 8 semanas en recuperarse hasta cifras superiores a 50.000/mm3. A los 2 meses de la retrombosis estaba recibiendo aún dosis infraterapéuticas de HBPM (75% de la dosis ajustada al peso), aunque se pudo retomar el tratamiento con clopidogrel, sin evidencia de sangrado o nuevos episodios de retrombosis venosa.

Como consecuencia de estos eventos, el paciente nunca más pudo retomar el tratamiento oncológico, siendo atendido por el equipo de cuidados paliativos en el domicilio. Falleció por progresión tumoral, a los 4 meses de la retrombosis venosa.