< Lección 1. Estratificación del riesgo tromboembólico y hemorrágico en el paciente oncológico

CASO CLÍNICO 1

Exploración física

ECOG 0. Peso: 75 kg. Talla: 170 cm. Auscultación cardiopulmonar: rítmico sin soplos a 80 latidos/minuto, murmullo vesicular conservado. Abdomen: sin hallazgos significativos. Miembros inferiores: no presenta edemas; sin signos de trombosis venosa profunda o superficial. Exploración neurológica: sin hallazgos.

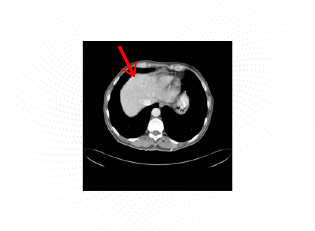
Se procede a su ingreso para completar el estudio y realizar drenaje de la vía biliar. Se propone profilaxis con heparina de bajo peso molecular (HBPM) a dosis profilácticas. Se realiza ecoendoscopia que confirma el diagnóstico de neoplasia de la cabeza del páncreas con adenopatías locorregionales patológicas y se realiza biopsia de la lesión pancreática. Se implanta una prótesis metálica mediante colangiopancreatografía retrógrada endoscópica (CPRE) sin incidencias, con evolución favorable de las cifras de bilirrubina. En el estudio con tomografía axial computarizada (TAC) se confirma el diagnóstico de masa en la cabeza del páncreas, hipodensa, sospechosa de carcinoma de páncreas con atrapamiento de la vía biliar y dilatación de la vía biliar intra- y extrahepática con colédoco de 12 mm de diámetro y metástasis hepáticas (Figura 1). La anatomía patológica de la lesión pancreática demuestra un adenocarcinoma ductal infiltrante pobremente diferenciado de origen pancreático.

El estudio mutacional demuestra mutación en BRCA2. Se propone tratamiento de quimioterapia con el esquema FOLFIRINOX, que incluye oxaliplatino, irinotecán y 5-fluorouracilo en bolo e infusión continua de 48 horas, tras normalización de las cifras de bilirrubina en un medio extrahospitalario. Se implanta catéter Port-a-Cath® para la administración de quimioterapia.

El paciente es dado de alta, con descenso progresivo de la ictericia mucocutánea, y es valorado en la consulta de oncología médica/Hospital de Día. El estudio analítico presenta los siguientes valores:

  • Analítica de sangre: bilirrubina total de 0,9 mg/dL; hemoglobina de 12,1 g/dL; leucocitos de 12.800/μL; plaquetas de 410.000/μL. Sin otros hallazgos significativos.

Se inicia tratamiento con FOLFIRINOX, con profilaxis primaria con G-CSF (filgrastim) y HBPM a dosis profilácticas. Recibe 4 ciclos de este esquema y se objetiva en el estudio con TAC respuesta parcial RECIST 1.1 con desaparición de una de las lesiones hepáticas y reducción de la segunda alcanzando un tamaño de 2-3 mm. La lesión en la cabeza del páncreas también se ha reducido de tamaño, con un tamaño actual de 1 × 1,5 cm. En la analítica se observa una hemoglobina de 10,8 mg/dL y normalización de las cifras de leucocitos y plaquetas.