< Lección 8. Manejo de la retrombosis durante el tratamiento anticoagulante

4. Manejo de la retrombosis >>

4.3. Filtro en la vena cava inferior

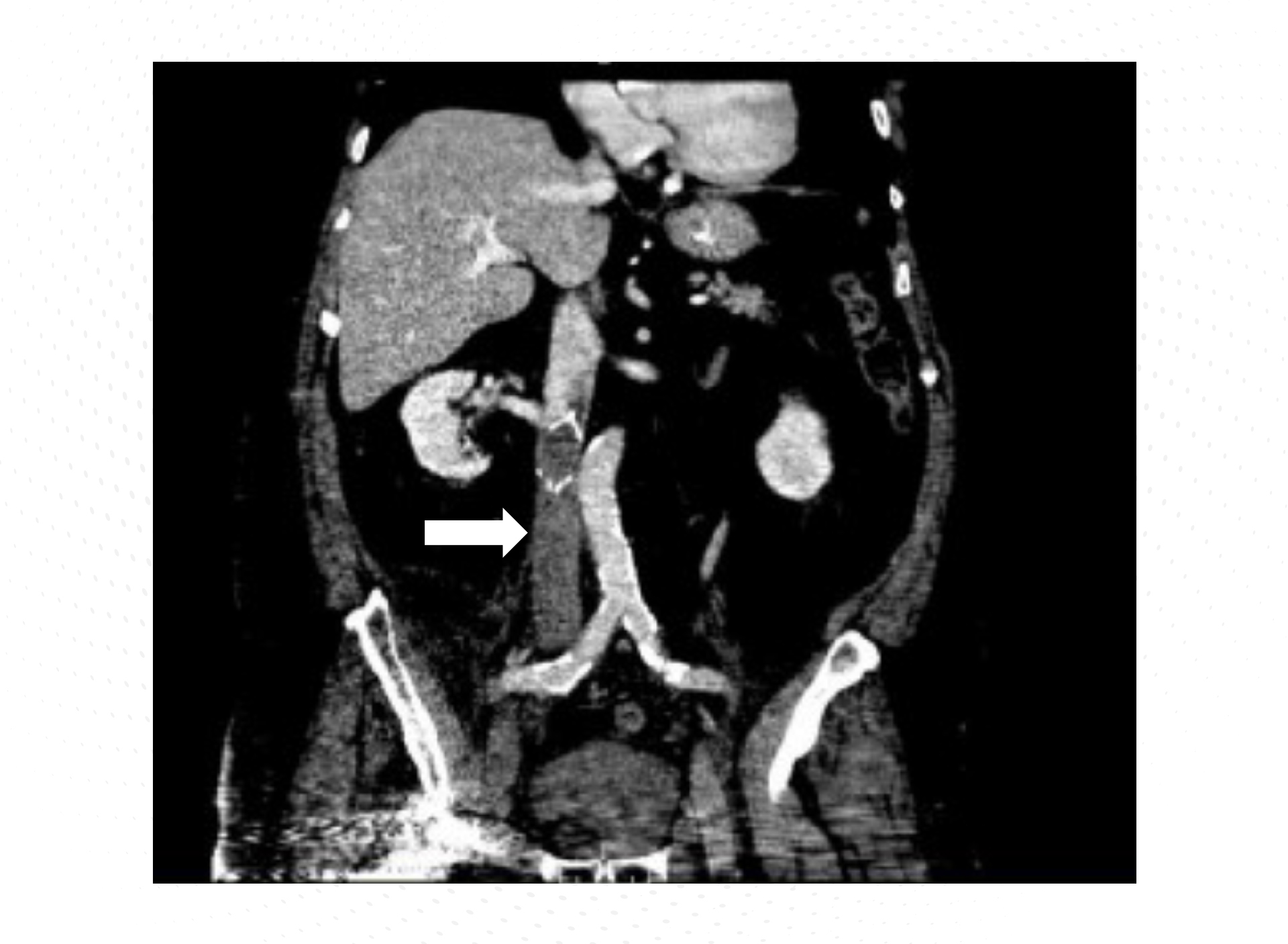
En cuanto al empleo de filtros de la vena cava inferior (FVCI), no se puede recomendar su uso rutinario en este escenario. Varios trabajos han mostrado que los FVCI, en la actualidad preferiblemente recuperables, son beneficiosos en pacientes con TEV y contraindicación para la anticoagulación (por sangrado activo principalmente) [30,31]. Debido al mayor riesgo de TVP recurrente a largo plazo, la anticoagulación deberá iniciarse en cuanto desaparezca la contraindicación, procediéndose también a retirar el filtro, aunque esto último no siempre es posible.

Sin embargo, el beneficio de los FVCI en el manejo de una recurrencia trombótica es mucho más cuestionable. En un trabajo reciente en pacientes con TEV recurrente durante la terapia anticoagulante (40% de ellos con cáncer), la utilización de FVCI parece reducir la mortalidad en los pacientes que recurren como EP, pero no en los que recurren en forma de TVP, con una tendencia en ambos casos a mayor riesgo de nuevas recurrencias (Tabla 7) [32]. Nuevamente, tratándose de un número de pacientes muy limitado, con datos obtenidos a partir de un registro, se debe ser muy cauteloso en la interpretación de los resultados.

En consecuencia, no se recomienda la inserción rutinaria de un FVCI en un paciente con cáncer que sufre un TEV recurrente durante el tratamiento anticoagulante. Solo cabría planteárselo en pacientes con contraindicación para la anticoagulación a dosis plenas o en pacientes con EP recurrente y muy escasa reserva cardiopulmonar. En este último caso, siempre con anticoagulación a dosis terapéuticas o incluso supraterapéuticas de HBPM, ya que una complicación posible es la trombosis del filtro, que en el paciente con cáncer puede estar facilitada por la hipercoagulabilidad subyacente (Figura 9).