< Lección 9. Tratamiento del tromboembolismo venoso asociado a cáncer más allá de los primeros 6 meses

CASO CLÍNICO 3

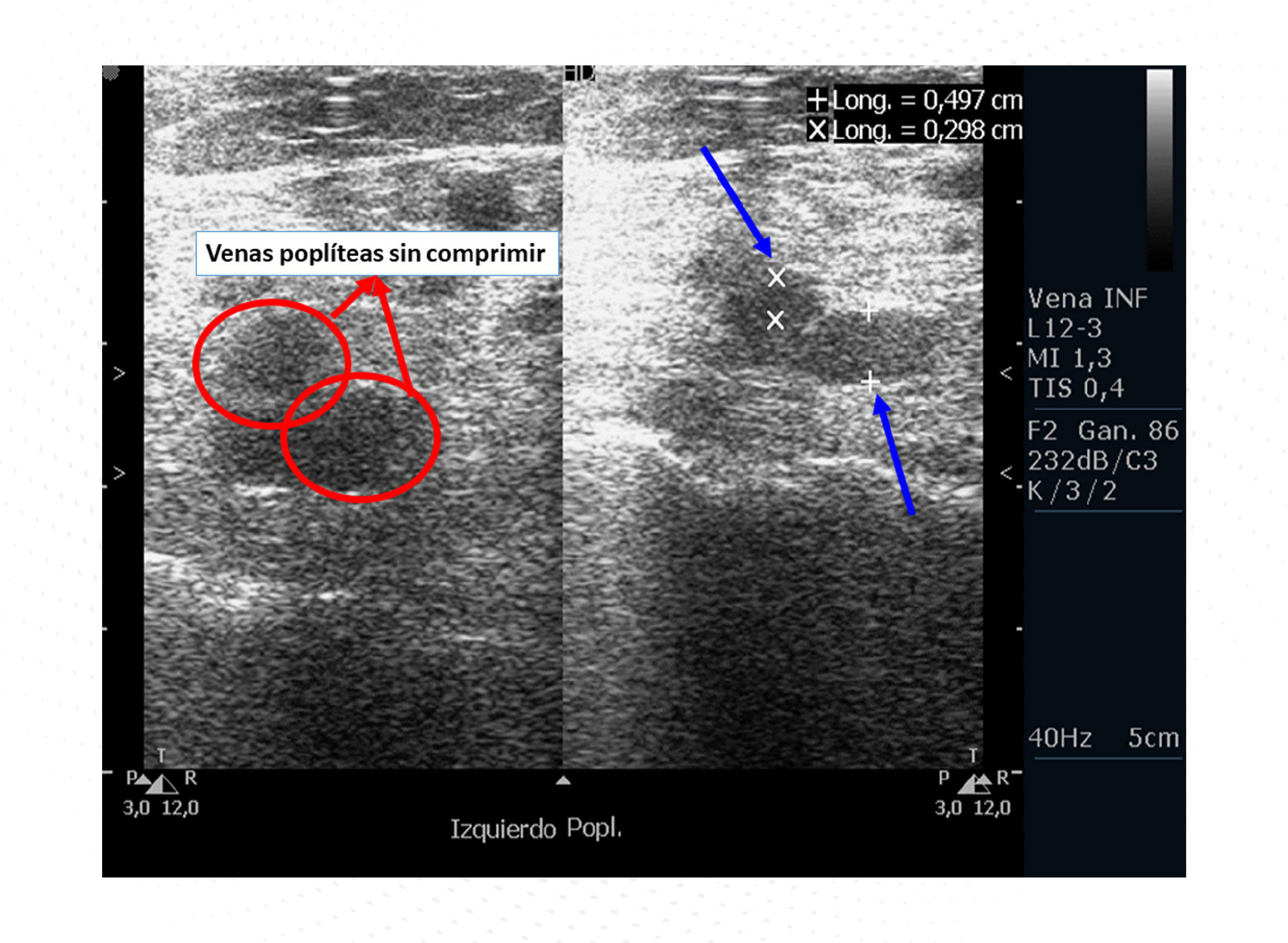
Se trata de una mujer de 56 años sin antecedentes de interés, diagnosticada recientemente de cáncer de mama ductal infiltrante localmente avanzado con metástasis hepáticas y linfangitis pulmonar e insuficiencia respiratoria secundaria. La paciente comenzó el primer ciclo de quimioterapia con paclitaxel y 3 meses después se le añadió trastuzumab en el segundo ciclo de quimioterapia. Una semana después de comenzar dicho ciclo, consulta con molestias, ligero empastamiento del miembro inferior izquierdo, por lo que se le realizó una ecografía compresiva de miembros inferiores, encontrando un déficit de compresibilidad en la vena poplítea izquierda (Figura 1). Con el diagnóstico de trombosis venosa profunda (TVP) de la vena poplítea izquierda, se realizó analítica urgente que evidenció un aclaramiento de creatinina de 79 mL/min, con cifras de plaquetas y hemoglobina dentro de rango de la normalidad. Se inició tratamiento con bemiparina 7.500 UI/24 horas (peso: 62 kg).

Durante los siguientes meses continuó con tratamiento quimioterápico y con bemiparina sin presentar ningún tipo de complicación relacionada con el tratamiento. Un año después, la paciente comenzó con síntomas neurológicos, por lo que se decidió su ingreso hospitalario para estudio. Tanto la exploración física como la analítica estaban dentro de la normalidad, aunque la exploración neurológica manifestó inestabilidad de la marcha, cansancio severo y torpeza con las extremidades inferiores sin foco neurológico claro, cefalea, dolor, fiebre o cualquier otro síntoma. Se realizó una tomografía computarizada (TC) craneal que mostró múltiples lesiones ocupantes de la estación en todo el cerebro compatibles con metástasis cerebrales del cáncer de mama primario con edema perilesional (Figura 2). Ante esos hallazgos, la paciente comenzó tratamiento con dexametasona (8 mg cada 8 horas) y se programaron 10 sesiones de radioterapia holocraneal. El dilema que se planteó con la paciente radicaba en el manejo del tratamiento anticoagulante.