< Lección 4. Profilaxis y tratamiento del tromboembolismo venoso asociado a cáncer en pacientes con sangrado activo o historia reciente de sangrado

CASO CLÍNICO 2

Paciente con tromboembolismo pulmonar grave tras cirugía oncológica y presencia de metástasis cerebrales.

Antecedentes

Se trata de un paciente varón de 52 años de edad, sin alergias medicamentosas, fumador desde los 18 años de edad de 20 cigarrillos al día hasta hace 10 años. Desde entonces 10 cigarrillos al día. Enolismo importante de entre 120-160 gramos de alcohol al día. Accidente de tránsito hace 10 años en el que sufrió fractura de tibia y peroné derechos, y trauma abdominal por el que precisó resección intestinal y esplenectomía.

Enfermedad actual

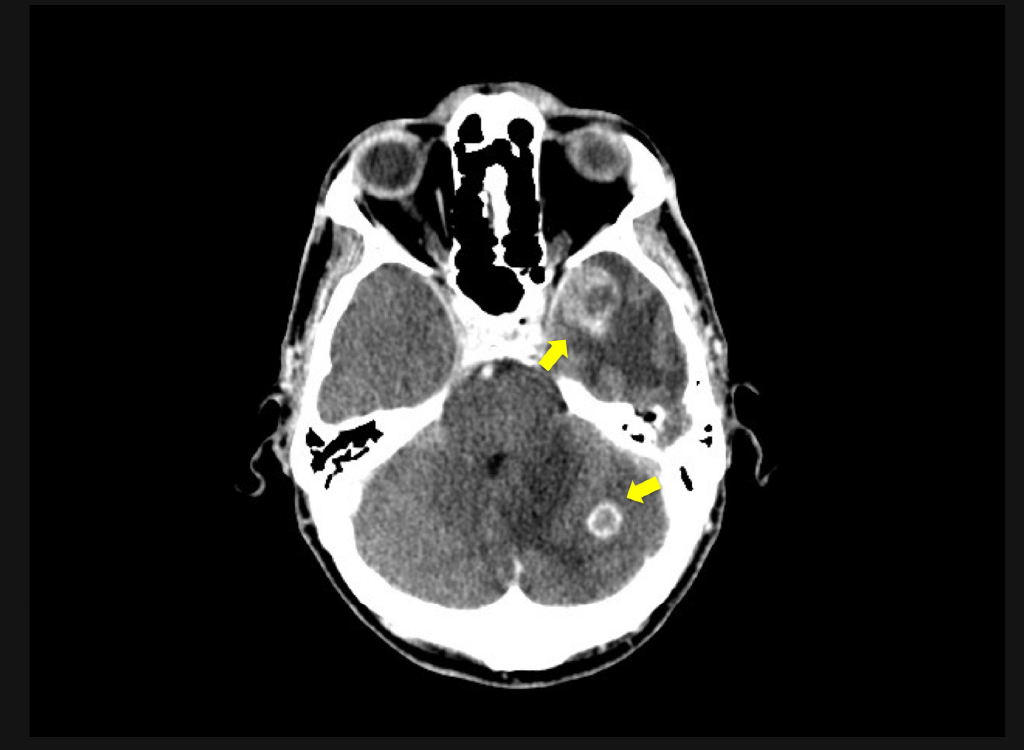
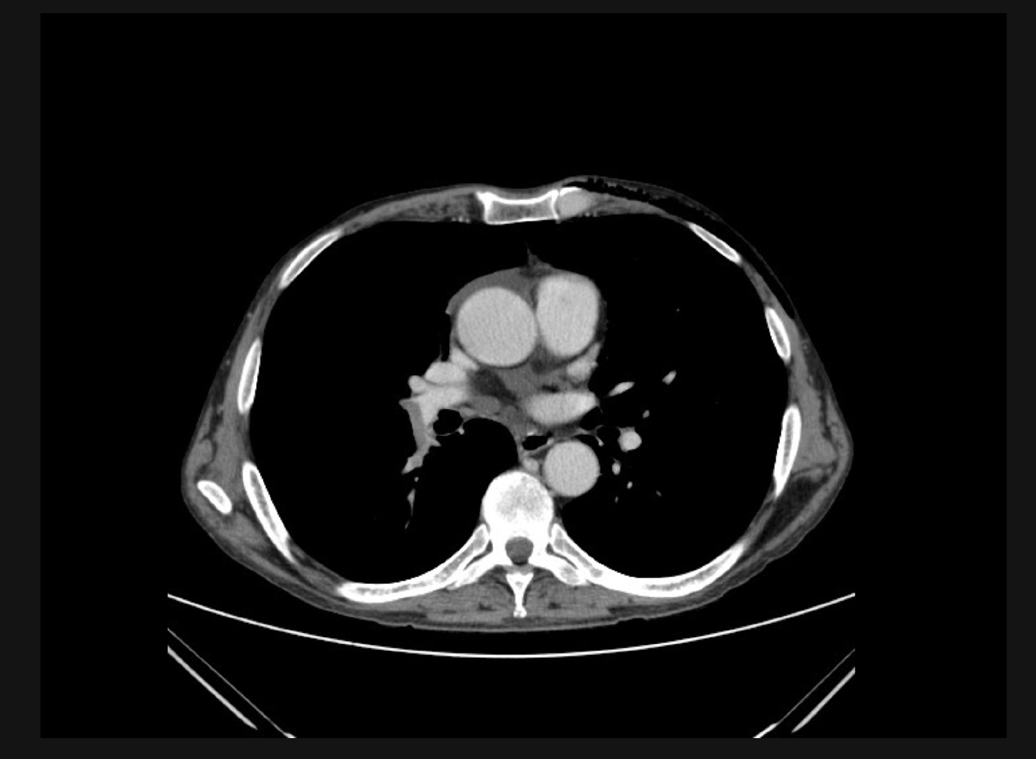
El paciente acudió a urgencias por cefalea hemicraneal persistente que no cedía con analgésicos. A la exploración neurológica se le halló obnubilado sin clara focalidad neurológica por lo que se solicitó un TC craneal que mostró dos imágenes sugestivas de metástasis (Figura 1), con edema perilesional y efecto masa. Se realizó un TC torácico por imagen sugestiva de neoplasia en radiología simple, que mostró una lesión en parénquima pulmonar de 33x26 mm de bordes irregulares y contornos espiculados, situada en el segmento apical posterior del lóbulo superior izquierdo, la cual contacta la cisura. Imagen muy sugestiva de neoplasia primaria de pulmón (Figura 2).

Se realizó una punción biopsia y el paciente fue diagnosticado de adenocarcinoma de pulmón. Como exploraciones adicionales se realizó una broncoscopia para intentar biopsia de posibles adenopatías pero como complicación del procedimiento, se produjo una perforación traqueal, por lo que el paciente fue sometido a una linfadenectomía mediastínica videoasistida. En TC de control posterior se observa la presencia de la perforación de la pared anterior de la tráquea a nivel de la carina con importante neumomediastino y enfisema de partes blandas cervico-torácico (Figura 3). Se aprecian en la TC imágenes de tromboembolismo pulmonar (TEP) bilateral de alta carga trombótica.

Dada la presencia de TEP bilateral de alta carga trombótica, se inició tratamiento anticoagulante con heparina de bajo peso molecular a dosis terapéuticas sin apreciarse complicaciones hemorrágicas relacionadas con los procedimientos quirúrgicos ni con la presencia de las metástasis cerebrales.

Con el diagnóstico oncológico de adenocarcinoma de pulmón estadio IV con EGFR no mutado y ALK no translocado, el paciente inició tratamiento con quimioterapia y radioterapia holocraneal.

A los 6 meses se redujo la dosis de heparina a dosis profilácticas de alto riesgo .

Tras 5 meses de recibir dosis profilácticas, ingresó por gripe A con neumonía. Durante el ingreso se constató una recurrencia trombótica en forma de trombosis venosa profunda, por lo que se incrementó la dosis de heparina a dosis plenas con buena respuesta. Tras el alta se constató progresión de la enfermedad y el paciente falleció 2 meses más tarde.